Qué es un neumotórax
El neumotórax, también conocido como colapso pulmonar, es una condición médica que ocurre cuando se acumula aire en el espacio situado entre el pulmón y la pared torácica, llamado espacio pleural.
Un neumotórax es el colapso o cierre pulmonar provocado por la acumulación de aire en el espacio entre el pulmón y la pared torácica (espacio pleural), lo que impide la expansión pulmonar.

Cuando el aire entra en esta cavidad, ejerce presión sobre el pulmón e impide que se expanda correctamente durante la respiración. Como consecuencia, el intercambio de oxígeno se ve alterado y aparecen síntomas respiratorios que pueden variar desde leves hasta potencialmente graves.
Aunque puede generar mucha preocupación, la gravedad del neumotórax depende principalmente de la cantidad de aire acumulado y de la causa que lo haya provocado.
Síntomas del neumotórax
El neumotórax suele aparecer de forma repentina. Muchas personas experimentan síntomas súbitos incluso cuando estaban realizando actividades normales.
Los síntomas clave son dolor torácico repentino y falta de aire.
Entre los síntomas más frecuentes se encuentran:
- Dolor en el pecho repentino y punzante
- Dificultad para respirar (disnea)
- Tos seca persistente
- Sensación de presión en el tórax
En casos más graves pueden aparecer síntomas adicionales como:
- aumento de la frecuencia cardíaca
- respiración rápida
- coloración azulada de labios o piel (cianosis)
Estos signos indican que el organismo puede estar recibiendo menos oxígeno del necesario, por lo que requieren atención médica inmediata.
Causas del neumotórax
El neumotórax puede producirse por diversas causas. Dependiendo de su origen, se clasifica en diferentes tipos. Puede ser espontáneo, traumático o iatrogénico, tratándose con reposo, drenaje con sonda pleural o cirugía.
Neumotórax espontáneo primario
Ocurre sin enfermedad pulmonar previa, a menudo en personas jóvenes y delgadas, sobretodo en hombres, por la rotura de pequeñas burbujas de aire (ampollas).
Estas pequeñas ampollas pulmonares pueden romperse de forma espontánea, liberando aire hacia la cavidad pleural.
Neumotórax espontáneo secundario
Derivado de enfermedades pulmonares subyacentes como EPOC, asma o infecciones.
En estos casos el pulmón ya está afectado por una enfermedad previa, lo que aumenta el riesgo de colapso pulmonar.
Neumotórax traumático
Causado por lesiones, como fracturas de costillas o heridas punzantes. Suele producirse tras accidentes, golpes fuertes en el tórax o heridas penetrantes.
Neumotórax iatrogénico
Resultado de procedimientos médicos (biopsias, colocación de vías).
Puede aparecer como complicación poco frecuente de algunos procedimientos médicos relacionados con el pulmón.
Neumotórax catamenial
Raro, relacionado con el ciclo menstrual.
Este tipo está asociado con endometriosis torácica y suele aparecer en mujeres en edad fértil coincidiendo con el ciclo menstrual.
Cómo se diagnostica un neumotórax
El diagnóstico comienza con una evaluación clínica completa y exploración física. Los médicos pueden detectar signos como:
- Disminución del sonido respiratorio en un lado del pecho
- Expansión torácica desigual
- Dificultad respiratoria evidente
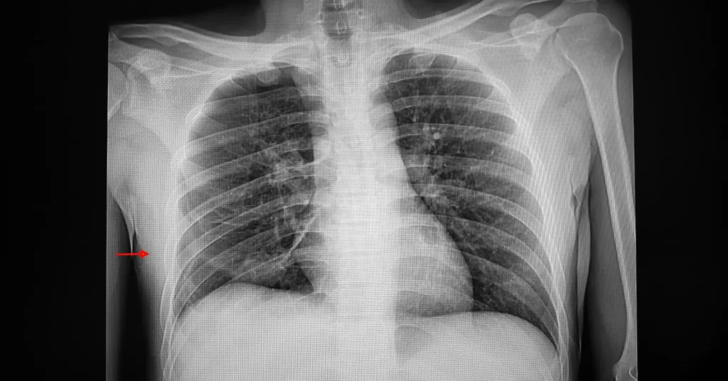
Para confirmar el diagnóstico se utilizan pruebas de imagen como:
- Radiografía de tórax
- Tomografía computarizada (TC)
- Ecografía pulmonar
Estas pruebas permiten visualizar la presencia de aire en el espacio pleural y el grado de colapso pulmonar.

Tratamiento del neumotórax
El tratamiento tiene como objetivo liberar el aire atrapado y permitir que el pulmón se reexpanda correctamente.
Dependiendo del tamaño del neumotórax y de los síntomas del paciente, existen diferentes opciones terapéuticas.
Observación
Para neumotórax muy pequeños. En estos casos el organismo puede reabsorber el aire de forma natural con reposo y seguimiento médico.
Aspiración o tubo torácico
Inserción de una aguja o sonda entre las costillas para drenar el aire. Este procedimiento permite eliminar el aire acumulado y restaurar la presión normal en el espacio pleural.
Cirugía
Generalmente toracoscopia, indicada si hay fugas persistentes o recurrencia. La cirugía mínimamente invasiva permite reparar las zonas pulmonares responsables de la fuga de aire.
Neumotórax a tensión: una urgencia médica
El neumotórax a tensión es la forma más grave de esta patología.
Un neumotórax a tensión es una urgencia vital que requiere tratamiento inmediato, ya que la presión del aire acumulado puede afectar el corazón.
En esta situación el aire sigue entrando en el espacio pleural pero no puede salir, aumentando la presión dentro del tórax y comprometiendo la función del corazón y los pulmones.
El tratamiento debe realizarse de forma inmediata mediante descompresión torácica urgente.
¿Cómo ayuda la fisioterapia respiratoria en la recuperación del neumotórax?
La fisioterapia respiratoria juega un papel importante en la recuperación tras un neumotórax, especialmente después del tratamiento o la cirugía.
Una vez que el pulmón se ha reexpandido, el objetivo principal es restablecer una respiración eficiente y mejorar la capacidad pulmonar.
Prevención de complicaciones respiratorias
Después de un neumotórax, especialmente si ha sido necesario colocar un drenaje torácico o realizar cirugía, pueden aparecer complicaciones como:
- Atelectasias (zonas del pulmón que no se expanden correctamente)
- Acumulación de secreciones
- Debilidad de la musculatura respiratoria
La fisioterapia respiratoria ayuda a movilizar secreciones y mejorar la ventilación pulmonar, reduciendo el riesgo de estas complicaciones.

Recuperación de la capacidad pulmonar
Otro objetivo importante de la fisioterapia respiratoria es recuperar la capacidad pulmonar previa al neumotórax.
Esto se consigue mediante:
- Entrenamiento respiratorio progresivo
- Ejercicios de control de la respiración
- Trabajo de movilidad torácica
Con un programa adecuado, muchas personas logran recuperar completamente su función pulmonar y volver a su actividad habitual.
Pronóstico y recuperación
En la mayoría de los casos, el neumotórax tiene un buen pronóstico si se diagnostica y trata adecuadamente.
El seguimiento médico es fundamental para:
- Vigilar la correcta reexpansión del pulmón
- Detectar posibles recurrencias
- Establecer un plan de rehabilitación respiratoria
Con tratamiento adecuado y apoyo mediante fisioterapia respiratoria, la mayoría de los pacientes consigue recuperar su función pulmonar y volver a su vida normal.



